新着情報
にいみ歯科スタッフ発行マガジンブログ
毎日、グレープフルーツを2個ずつ食べ続けた女性。
健康を気遣う方ほど、取ってる食材ではないでしょうか?
これらの強い酸性の飲食物を食べても、普段は、
唾液が中和してくれています。
そして、
歯の表面のエナメル質を、元に戻してくれる働き(再石灰化)から、歯は守られています。
健康にはとても良い食材ですので、食べて頂いてもちろん大丈夫です。
しかし!!!この強い酸に触れる時間が長かったり、頻度が多い場合は、歯の再石灰化は、おいつきません!原因は1つではありませんが、毎日コツコツ決まって黒酢や柑橘類を摂取し続ければ、
歯がクレーターのようにポコポコ穴が空いて、神経まで到達すると痛みも発症することも…出てきます。
歯がクレーターのようにポコポコ穴が空いて、神経まで到達すると痛みも発症することも…出てきます。
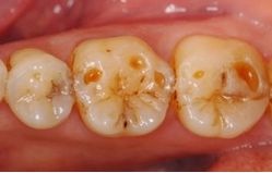
酸性の飲食物の『酸』によって歯が溶けていく『酸蝕歯』
歯周病やムシ歯と違い、この『酸蝕歯』になってしまう患者様は、比較的まじめで健康意識の高い人が多いのです!!【酸蝕歯と診断された方の一例】
奥歯の激しい痛みで来院した女性(59才)は、お顔のしみを薄くしたいと、ビタミン豊富なグレープフルーツを3ヶ月以上毎日2個ずつ食べていた。噛み合わせの影響から元々摩耗が進んでいた所に毎日強い酸が加わり、神経が露出してしまっていました。身体に良かれと思ってまじめに続けたことがかえって歯に悪影響が…
というケースが目立っています。予防策 は、酸性の強い食物をとったら、下記をやりましょう!
①お水などで口をすすぐ。
②強い酸で軟化した歯が削がれるのを防止するため、摂取後30分は歯磨きしない。
③デンタルガムやフッ素入り歯磨き粉で歯質を強化しておく。
pH5 以下の飲食物のダラダラ食べには注意しましょう。
また 酸性の飲み物などは温めない。素早く飲む。
ストローを使って、歯に触れないようにする事も予防となります。
また 酸性の飲み物などは温めない。素早く飲む。
ストローを使って、歯に触れないようにする事も予防となります。