新着情報
スタッフブログブログ
これが言いたい!!
|
13:22 (0 分前)
![]() |
![]() ![]() |
||
本日担当はチーフ澤野です♪
毎日毎日暑いですね(^.^)
にいみ歯科もメラメラ燃えております!!
今日は自慢させてください!!
私には6年生の男の子と3年生の女の子が
いるのですが、
6年生のお兄ちゃんは学校で歯並び&虫歯無しでNo.1
3年生の妹ちゃんは歯のポスターで学校から代表者という事で
兄弟揃ってのW受賞となりました♪

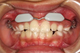
で、下のコはお兄ちゃんに続けと
いうことで矯正真っ只中(*^_^*)

私に似て出っ歯さんなんです…
良いところは似ないとはこの事ですね。
ん?なに?良いところはあるのか?って
私の良いところはもちろん一応ありますよ…
まっとにかく妹ちゃんは
毎日、毎日鏡を見ながら…
早く表彰状が欲しいと言っております!
まだまだやわと思ってますが、言いませんよ!
芸能人は歯が命と昔のCMでありましたが、
芸能人じゃ無くても歯は大事です♪
年齢がばれちゃう(((o(*゚▽゚*)o)))
お子さまの矯正に興味があるっていう親御さんは是非一度ご相談くださいませ(o^^o)
ではでは♪
