新着情報
スタッフブログブログ
ホワイトニング
こんにちは!!
今日は石田が担当します٩( ᐛ )( ᐖ )۶
みなさん、歯のホワイトニングって知っていますか?
その名の通り、歯を白くするということです!!
にいみ歯科では、
ひとつは歯医者にて行う
オフィスホワイトニングです!
¥10,000+税
そしてもうひとつはお家で行う
ホームホワイトニングです!!
上下¥50,000+税(ジェル4本)
片顎¥30,000+税(ジェル2本)
今日はホームホワイトニングのお話しをさせてもらおうと思います
ここ最近、ホワイトニング希望で来院される方が増えてきました!
差し歯をやり変えるために隣や他の歯を白くして合わせたい!
結婚式までに白くしたい!
などなど主訴は様々です(⍢)
女性だけではなく男性にも人気なんですよ!
秋は結婚式が多いですね♡
わたしも第一次結婚ブームが到来しており、
今年はなんと5回も結婚式があります笑
幹事をして余興でフラッシュモブしたり、、、
診療後、

鈴木先生、三代目並みにうまかったです笑
ついこの間は、
歯科衛生士の田中・村山、受付の千種と診療後、二次会に参加しました!

ヘアセットは歯科衛生士の平田さんと歯科助手の森さんに

ヘアセットは歯科衛生士の平田さんと歯科助手の森さんに
あっというまにかわいくヘアセットしてもらいました♡
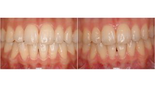
そしてそしてわたしもホームホワイトニングを実践してみました!!!
まずは歯型をとります!
そしてそしてわたしもホームホワイトニングを実践してみました!
まずは歯型をとります!
それを元に技工士さんがマウスピースを作製してくれるのです!
そして、ホワイトニングジェルを少量つけてはめるだけ!!!
とっても簡単なんです♡♡♡
個人差もありますが数回で効果は出てきますよ!!
とっても透明感のある白さを手に入れることができるんです♩
〜左がホワイトニング後のわたしの歯です〜
興味がある方はぜひぜひ、受けてみてはいかがでしょうか??٩( ᐛ )( ᐖ )۶