〒510-0062
三重県四日市市北浜田町3-5

新着情報

スタッフブログブログ

ホワイトニング その2

こんにちは!今日のBLOGの担当はドクターの北見です!(^^)

前回、便乗して始めたホワイトニングですが‥
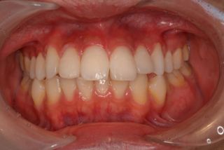
こんな感じになりました

北見 顕介_2015.10.jpg

白くなりましたね?なったと思います(^^)
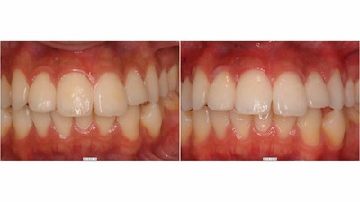
前後で比べると??
kitami.jpg
こんな感じで


やってみて思ったんですが、自分で始めると白くなっていくのが楽しくなりますね(^^)

さらに、自分のをもっと綺麗にしようという意識が高くなったと思います!



とりあえず上のだけをしたんですが、、

下のもそのうちしてみようかな…と思います(^^)