新着情報
スタッフブログブログ
★卒業★
今日の担当は澤田です。
最近は、雪が降ったりとても寒い日々が続いていますね。
皆様、体調は崩されていないでしょうか?
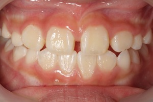
先日、小さな頃から矯正治療を続けてきた患者さんが、遠くへ引っ越されるとのことでちょっとしんみりしてしまいました。
僕が、にいみ歯科医院に入社した当初から矯正治療をさせていただいていた患者さんで、親子仲良く、いつも楽しい話をしてくれて、矯正治療もとても頑張ってくれました。
今回、ブログに載せても良いとのことで紹介させていただきます。
![]()
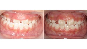
最初は受け口でしたが、前歯の位置が改善しました。

顎を広げるために、顎を広げる装置(拡大床)を使ったり、


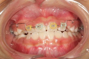
歯のねじれや隙間を調整するためにワイヤーの装置を使いました。

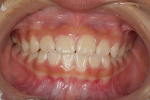
歯並びは綺麗になって、
今では、夜だけ後戻り予防のマウスピースを使ってもらっています。
![]()
Eちゃん、遠くに行っても頑張ってね!