新着情報
スタッフブログブログ
かわいい歯♪
こんにちは(^^)
澤野です^o^
みなさん
歯の形ってまぢまぢと見た事ありますか?
自分の前歯を一度見てみてください!
特に下の前歯を見てください!
どうですか?
真っ直ぐじゃないですか?
人によっては凹んでたり
これがいわゆる歯ぎしりの跡だったりします。
で、今回私が言いたいのは
最初から真っ直ぐだった訳ではないのです。
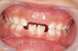
ちびっこの歯はギザギザしてるんです。
なみなみ。
金平糖みたい(*^_^*)

ちなみにうちの子の昔・昔の歯です。
この形がしっかり噛めてくると
段々とギザギザが無くなり、
そしてストレス社会の中で
歯ぎしりをしたり食いしばったり
しながら真っ直ぐや凹みに
変化していきます。
歯って不思議ですよね(≧∇≦)
自分のお子ちゃまの歯を
一度観察して見てください!
意外な発見があるかもですよ♪
おしまいです(o^^o)