症例紹介
ダイレクトボンディング
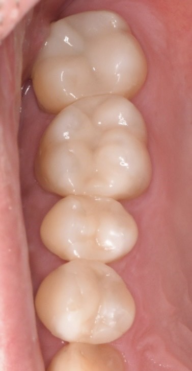
ダイレクトボンディングの症例(30代・女性)

Before

After
| 主訴 | 銀歯を白い詰め物に変えたい |
|---|---|
| 診断名 | 二次虫歯(銀歯の下が虫歯でした) |
| 年齢・性別 | 30代・女性 |
| 治療期間・回数 | 1歯につき1回 |
| 治療方法 | ダイレクトボンディング |
| 費用 | 1歯55,000円 |
| デメリット・注意点 | 治療回数は1回だが治療時間が長い |
| 備考 | 研磨で後日来院していただく場合がある |
症例紹介

Before

After
| 主訴 | 銀歯を白い詰め物に変えたい |
|---|---|
| 診断名 | 二次虫歯(銀歯の下が虫歯でした) |
| 年齢・性別 | 30代・女性 |
| 治療期間・回数 | 1歯につき1回 |
| 治療方法 | ダイレクトボンディング |
| 費用 | 1歯55,000円 |
| デメリット・注意点 | 治療回数は1回だが治療時間が長い |
| 備考 | 研磨で後日来院していただく場合がある |