ダイレクトボンディング審美歯科
ダイレクトボンディングの症例(40代・女性)

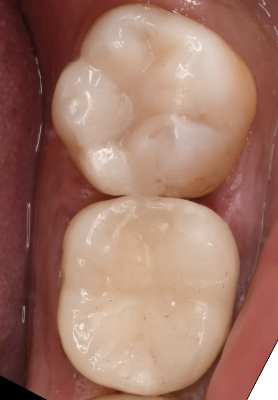
Before


After
| 主訴 | かむと痛みがある |
|---|---|
| 診断名 | 二次虫歯(古い詰め物の下が虫歯でした) |
| 年齢・性別 | 40代・女性 |
| 治療期間・回数 | 1日・1回 |
| 治療方法 | ダイレクトボンディング |
| 費用 | 55,000円 |
| デメリット・注意点 | 研磨で後日来院していただく場合がある |
| 備考 |

Before


After
| 主訴 | かむと痛みがある |
|---|---|
| 診断名 | 二次虫歯(古い詰め物の下が虫歯でした) |
| 年齢・性別 | 40代・女性 |
| 治療期間・回数 | 1日・1回 |
| 治療方法 | ダイレクトボンディング |
| 費用 | 55,000円 |
| デメリット・注意点 | 研磨で後日来院していただく場合がある |
| 備考 |

Before

After
| 主訴 | 噛むと違和感がある |
|---|---|
| 診断名 | 二次虫歯(保険のプラスチックの詰め物下が虫歯でした) |
| 年齢・性別 | 50代・女性 |
| 治療期間・回数 | 1日・1回 |
| 治療方法 | ダイレクトボンディング(小) |
| 費用 | 39,600円 |
| デメリット・注意点 | 研磨で後日来院していただく場合がある |
| 備考 | 詰める範囲が噛むところだけだったので上記の金額で対応しております |



| 主訴 | 噛むと痛みがある |
|---|---|
| 診断名 | 二次虫歯 |
| 年齢・性別 | 20代・女性 |
| 治療期間・回数 | 1日・1回 |
| 治療方法 | ダイレクトボンディング |
| 費用 | 55,000 |
| デメリット・注意点 | 研磨で後日来院していただく場合がある |
| 備考 |



| 主訴 | 冷たいものを食べると歯がしみる |
|---|---|
| 診断名 | 二次虫歯(銀歯の下が虫歯でした) |
| 年齢・性別 | 50代・男性 |
| 治療期間・回数 | 1日・1回 |
| 治療方法 | ダイレクトボンディング |
| 費用 | 55,000円 |
| デメリット・注意点 | 研磨で後日来院していただく場合がある |
| 備考 |

Before

After
| 主訴 | 歯が欠けた |
|---|---|
| 診断名 | 虫歯 |
| 年齢・性別 | 20代・男性 |
| 治療期間・回数 | 1日・1回 |
| 治療方法 | ダイレクトボンディング |
| 費用 | 55,000円 |
| デメリット・注意点 | 研磨で後日来院していただく場合がある |
| 備考 |

Before

After
| 主訴 | 歯がしみる |
|---|---|
| 診断名 | 二次虫歯(保険のプラスチックの詰め物の下が虫歯でした) |
| 年齢・性別 | 50代・女性 |
| 治療期間・回数 | 1日・1回 |
| 治療方法 | ダイレクトボンディング |
| 費用 | 55,000円 |
| デメリット・注意点 | 研磨で後日来院していただく場合がある |
| 備考 |

Before

After
| 主訴 | 銀歯を白くしたい |
|---|---|
| 診断名 | 二次虫歯(銀歯の下が虫歯でした) |
| 年齢・性別 | 30代・男性 |
| 治療期間・回数 | 1日・1回 |
| 治療方法 | ダイレクトボンディング |
| 費用 | 55,000円 |
| デメリット・注意点 | 治療時間が長い |
| 備考 | 研磨で後日来院していただく場合がある |

Before

After
| 主訴 | 銀歯を白くしたい、噛むと違和感がある |
|---|---|
| 診断名 | 二次虫歯(銀歯の下が虫歯でした) |
| 年齢・性別 | 40代・男性 |
| 治療期間・回数 | 1日・1回/約1ヶ月・3回 |
| 治療方法 | ダイレクトボンディング/ジルコニアボンド |
| 費用 | 55,000円/110,000円 |
| デメリット・注意点 | 治療時間が長い/治療期間がかかる |
| 備考 | 研磨で後日来院していただく場合がある/虫歯が進行していると神経の処置からやり直す必要がある |

Before

After
| 主訴 | 銀歯を白い詰め物に変えたい |
|---|---|
| 診断名 | 二次虫歯(銀歯の下が虫歯でした) |
| 年齢・性別 | 30代・女性 |
| 治療期間・回数 | 1歯につき1回 |
| 治療方法 | ダイレクトボンディング |
| 費用 | 1歯55,000円 |
| デメリット・注意点 | 治療回数は1回だが治療時間が長い |
| 備考 | 研磨で後日来院していただく場合がある |

Before

After
| 主訴 | 噛むと違和感がある |
|---|---|
| 診断名 | 二次虫歯 |
| 年齢・性別 | 20代・女性 |
| 治療期間・回数 | 1日・1回 |
| 治療方法 | ダイレクトボンディング |
| 費用 | 55,000円 |
| デメリット・注意点 | 治療回数は1回だが治療時間が長い |
| 備考 | 研磨で後日来院していただく場合もある |