症例紹介
ダイレクトボンディング審美歯科
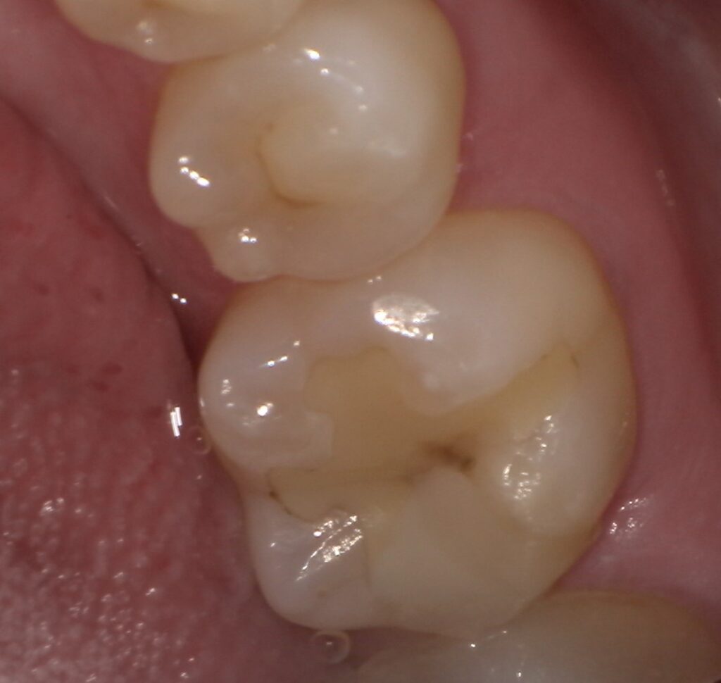
ダイレクトボンディングの症例(40代・女性)

Before


After
| 主訴 | かむと痛みがある |
|---|---|
| 診断名 | 二次虫歯(古い詰め物の下が虫歯でした) |
| 年齢・性別 | 40代・女性 |
| 治療期間・回数 | 1日・1回 |
| 治療方法 | ダイレクトボンディング |
| 費用 | 55,000円 |
| デメリット・注意点 | 研磨で後日来院していただく場合がある |
| 備考 |
症例紹介

Before


After
| 主訴 | かむと痛みがある |
|---|---|
| 診断名 | 二次虫歯(古い詰め物の下が虫歯でした) |
| 年齢・性別 | 40代・女性 |
| 治療期間・回数 | 1日・1回 |
| 治療方法 | ダイレクトボンディング |
| 費用 | 55,000円 |
| デメリット・注意点 | 研磨で後日来院していただく場合がある |
| 備考 |