症例紹介
インプラント審美歯科
インプラントとジルコニアボンドの症例(70代・女性)


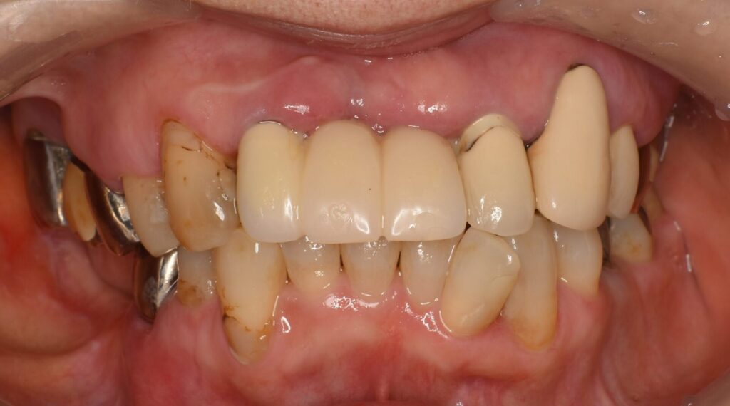
Before


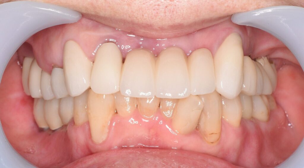
After
| 主訴 | ・左上奥のブリッジと前歯がグラついて食事できない。 ・右下に入れ歯が入っているが痛くて使えていない。 ・全体的にキレイにしたい。 |
|---|---|
| 診断名 | ・二次虫歯(重度根尖性歯周炎) |
| 年齢・性別 | 70代・女性 |
| 治療期間・回数 | 2年5ヶ月 |
| 治療方法 | ・左上の奥歯と前歯は残せなかったため抜歯をしインプラント手術を行い、治癒を待つ間に仮の歯を入れて噛める状態にしてから右下の奥歯のインプラント手術を行いました。 その後、インプラントと骨がしっかりと結合したことを確認し、ジルコニアボンドを被せる治療を行っています。 ・右上は根がしっかりしていたので、根の治療からやり直し、ジルコニアボンドのブリッジを入れました。 |
| 費用 | ◎インプラント7本埋入 1次オペ代:1,925,000円 2次オペ代:231,000円 ステント(インプラント埋入用ガイド)77,000円 上部構造:1,155,000円 右上ジルコニアボンドブリッジ代693,000円 |
| デメリット・注意点 | 術後の腫れ、痛み、インプラント周囲炎 |
| 備考 |