症例紹介
ダイレクトボンディング
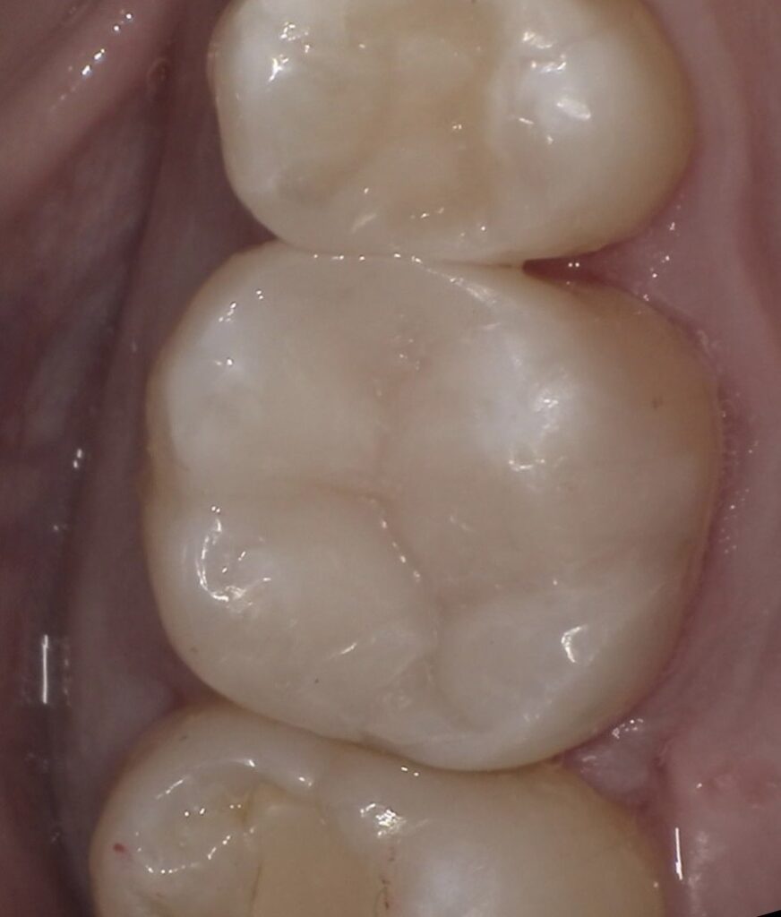
ダイレクトボンディングの症例(50代・男性)



| 主訴 | 冷たいものを食べると歯がしみる |
|---|---|
| 診断名 | 二次虫歯(銀歯の下が虫歯でした) |
| 年齢・性別 | 50代・男性 |
| 治療期間・回数 | 1日・1回 |
| 治療方法 | ダイレクトボンディング |
| 費用 | 55,000円 |
| デメリット・注意点 | 研磨で後日来院していただく場合がある |
| 備考 |
症例紹介



| 主訴 | 冷たいものを食べると歯がしみる |
|---|---|
| 診断名 | 二次虫歯(銀歯の下が虫歯でした) |
| 年齢・性別 | 50代・男性 |
| 治療期間・回数 | 1日・1回 |
| 治療方法 | ダイレクトボンディング |
| 費用 | 55,000円 |
| デメリット・注意点 | 研磨で後日来院していただく場合がある |
| 備考 |