症例紹介
審美歯科
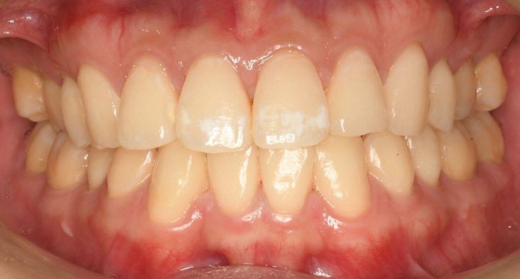
ホワイトスポット治療症例(30代・男性)

Before

After
| 主訴 | 前歯の白い点が気になる |
|---|---|
| 診断名 | ホワイトスポット |
| 年齢・性別 | 30代・男性 |
| 治療期間・回数 | 1日・1回 |
| 治療方法 | 特殊な薬剤を使いエナメル質を再石灰化させる |
| 費用 | 55,000円 |
| デメリット・注意点 | 虫歯による着色の治療はできない |
| 備考 | ホワイトニングをする場合は先にする必要がある |
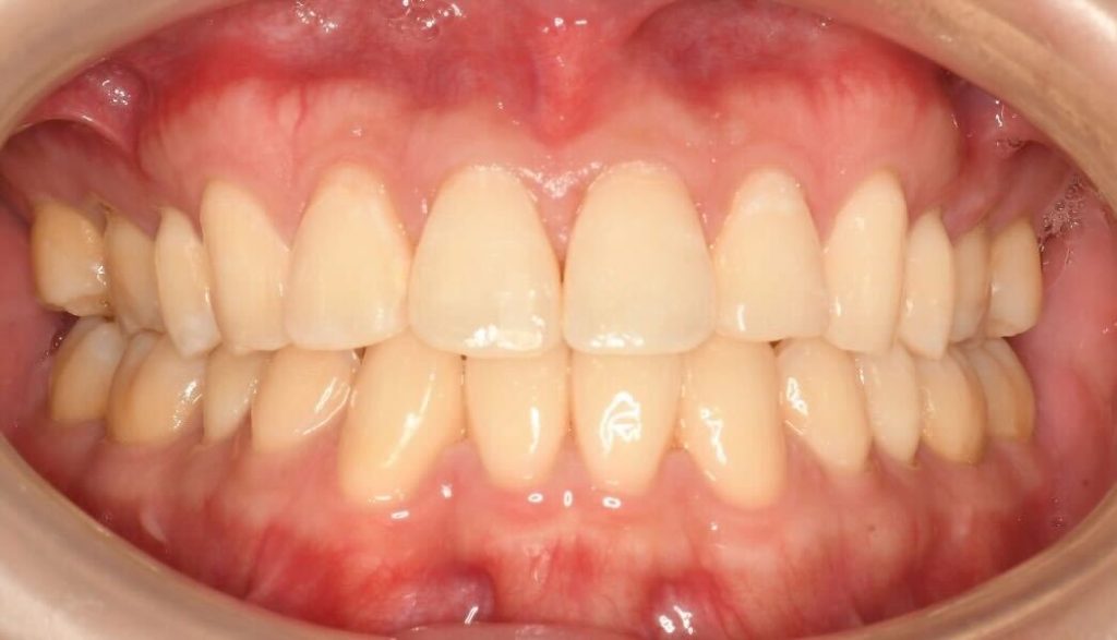
症例紹介

Before

After
| 主訴 | 前歯の白い点が気になる |
|---|---|
| 診断名 | ホワイトスポット |
| 年齢・性別 | 30代・男性 |
| 治療期間・回数 | 1日・1回 |
| 治療方法 | 特殊な薬剤を使いエナメル質を再石灰化させる |
| 費用 | 55,000円 |
| デメリット・注意点 | 虫歯による着色の治療はできない |
| 備考 | ホワイトニングをする場合は先にする必要がある |