症例紹介
審美歯科
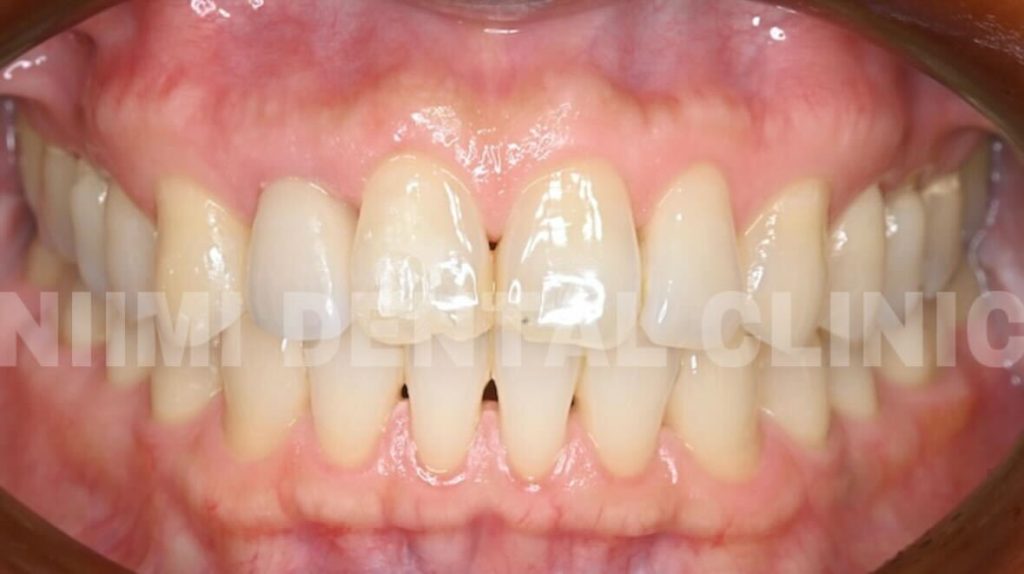
ホワイトニング後、右上2番の不適合修復物をジルコニアクラウンに変えた症例(30代・男性)

Before

After
| 主訴 | 前歯の差し歯を綺麗にしたい |
|---|---|
| 診断名 | 二次う蝕 |
| 年齢・性別 | 30代 男性 |
| 治療期間・回数 | 約1か月・2~4回 |
| 治療方法 | ホワイトニング 審美補綴治療(ジルコニア) |
| 費用 | ホームホワイトニング 42,000円 ジルコニア 110,000円 |
| デメリット・注意点 | 費用がかかる |
| 備考 | 仮歯の期間が生じる |
症例紹介

Before

After
| 主訴 | 前歯の差し歯を綺麗にしたい |
|---|---|
| 診断名 | 二次う蝕 |
| 年齢・性別 | 30代 男性 |
| 治療期間・回数 | 約1か月・2~4回 |
| 治療方法 | ホワイトニング 審美補綴治療(ジルコニア) |
| 費用 | ホームホワイトニング 42,000円 ジルコニア 110,000円 |
| デメリット・注意点 | 費用がかかる |
| 備考 | 仮歯の期間が生じる |