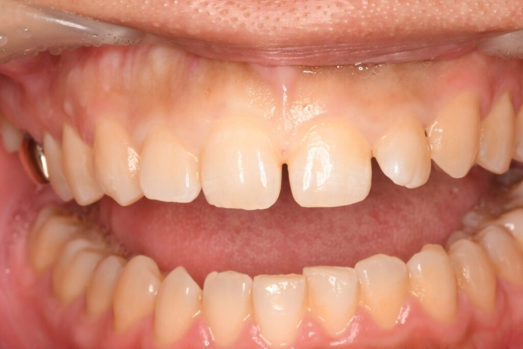
症例紹介
ダイレクトボンディングの症例(30代・男性)

Before

After
| 主訴 | 前歯の隙間が気になる |
|---|---|
| 診断名 | 正中離開 |
| 年齢・性別 | 30代・男性 |
| 治療期間・回数 | 1日・1回 |
| 治療方法 | ダイレクトボンディング |
| 費用 | 550,00円 |
| デメリット・注意点 | 研磨で後日来院していただく場合がある |
| 備考 |
症例紹介

Before

After
| 主訴 | 前歯の隙間が気になる |
|---|---|
| 診断名 | 正中離開 |
| 年齢・性別 | 30代・男性 |
| 治療期間・回数 | 1日・1回 |
| 治療方法 | ダイレクトボンディング |
| 費用 | 550,00円 |
| デメリット・注意点 | 研磨で後日来院していただく場合がある |
| 備考 |