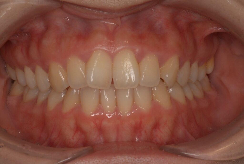
ホワイトニングの症例(30代・男性)

Before

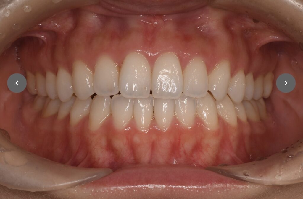
After
| 主訴 | 歯を白くしたい |
|---|---|
| 年齢・性別 | 30代・男性 |
| 治療期間・回数 | 1ヶ月・2回 |
| 治療方法 | ホワイトニング |
| 費用 | 55,000円 |
| デメリット・注意点 | 短期間で効果を実感しやすい一方で、ホームホワイトニングに比べて色が元に戻る「後戻り」が早い場合がある |
| 備考 |

歯磨きやクリーニングでは落ちない歯の黄ばみを、歯を削ることなく白くする方法です。
天然の歯を白くしていくため、自然な仕上がりになり、笑顔の魅力度がアップします。本来の歯の色よりも白くすることが可能です。
当院の医療用ホワイトニングは、他のメーカーよりしみる症状が少なく、痛みが少ないのが特徴です。歯を白くするだけではなく、透きとおるような自然な白さを手に入れてみませんか?
カレー、チョコレート、コーヒー、ワインといった飲食物には、ポリフェノールが豊富に含まれています。このポリフェノールが唾液中のタンパク質と結びつき、ステイン(着色汚れ)として歯の表面に沈着します。
付着したステインをそのままにしておくと、落としにくい頑固な汚れとなり、歯の変色や黄ばみが目立つ原因となります。
喫煙習慣のある方には、一段と注意が必要です。タバコに含まれるヤニ(タール)は極めて粘着性が強く、歯の黄ばみの原因になります。
年齢を重ねるにつれて歯の表面を覆うエナメル質が徐々に薄くなり、その下の象牙質の黄色みが目立つようになります。
そのため、ご高齢になるほど歯の色が黄色みを帯びて見える傾向が見られます。
Point.01

ホワイトニング治療は、専門のホワイトニング剤を用いて歯の色素を分解し白くする処置であり、歯質を削る必要はありません。
ご自身の天然歯にダメージを与えることなく、輝く白い歯を実現することが可能です。
Point.02

歯の黄ばみやくすみは、見た目の清潔感に影響を及ぼす可能性があります。特に、人前での会話が多い方や、就職活動などを控えている患者様は、相手に良い第一印象を与えるためにもホワイトニング治療が推奨されます。
Point.03

歯の黄ばみやステインが気になり、人前で心から笑うことをためらっていた患者様も、ホワイトニング治療後には躊躇なく自然な笑顔を見せられるようになられるでしょう。
特にビジネスや社交の場において、自信を持って笑顔でいられることは大きな強みとなります。

Before

After
| 主訴 | 歯を白くしたい |
|---|---|
| 年齢・性別 | 30代・男性 |
| 治療期間・回数 | 1ヶ月・2回 |
| 治療方法 | ホワイトニング |
| 費用 | 55,000円 |
| デメリット・注意点 | 短期間で効果を実感しやすい一方で、ホームホワイトニングに比べて色が元に戻る「後戻り」が早い場合がある |
| 備考 |
ホワイトニングは、歯の表面に専用ジェルを塗布し漂白作用によって、歯そのものの色調を白く明るくする施術です。一方、歯のクリーニングとは、歯の表面に付着した着色汚れ(茶渋やタバコのヤニ等)を除去し、表面を清浄化する処置です。クリーニングで歯の色のトーン自体は変わりません。
歯の表面に着色汚れがあり、かつ歯自体の色も改善する必要がある場合は、最初に歯のクリーニングを実施してからホワイトニングを行うのが一般的です。
ホワイトニングの効果が得られるのは、天然の歯に限定されます。セラミックやレジン(歯科用プラスチック)等の人工的な修復物(詰め物や被せ物)は漂白によって白くすることはできません。
さらに、薬剤の作用により色が大きく変化した歯の場合、ホワイトニングの効果が十分に見られない可能性もございます。
進行したむし歯や強い知覚過敏がある場合は、まずそれらの治療を先行させる必要があります(歯の現在の状況によっては、ホワイトニング自体の実施が難しいケースもございます)。
ホワイトニング中に多少の刺激を感じることはございますが、強い痛みが生じることは稀です。ホワイトニングに伴う知覚過敏の感じ方には個人差があり、歯の質(厚みや微細な亀裂等)によって、全く刺激を感じない患者様もいれば、一時的にしみやすい症状が現れる方もいらっしゃいます。
施術中や施術直後に生じるこうした感覚はあくまで一時的なものであり、ご心配は不要です。濃度の低い薬剤を選んだり、施術時間を短縮したり、治療後にフッ素を塗布したりすることで、症状を軽減することが可能です。
歯科医院のホワイトニングとホワイトニングサロンには、主に以下2つの違いがあります。
・ホワイトニング剤
ホワイトニングサロンと歯科医院とでは、使用可能な薬剤に大きな違いがございます。
歯科医院で行われるホワイトニングでは、過酸化水素や過酸化尿素といった成分を含む薬剤が用いられ、これには歯の色素を分解し歯そのものを白くする漂白作用があります。過酸化水素は医薬品成分であるため、医療機関である歯科医院のみで取り扱いが許可されています。
対照的に、ホワイトニングサロンは医療機関ではないことから、過酸化水素のような強力な漂白成分を扱うことは禁じられています。代わりに、ポリリン酸や酸化チタンといった成分の使用が一般的です。これらの成分に歯を漂白する効果はなく、歯の表面に付着した着色汚れを浮き上がらせて落とすことで、歯本来の色に戻す効果があります。表面の汚れの除去は可能ですが、歯そのものの色調は変化しない点にご留意ください。
・施術者
歯科医院で行われるホワイトニングは、歯科医師または歯科衛生士といった国家資格保有者が施術を担当いたします。
これに対し、ホワイトニングサロンは医療機関ではないため、施術を行うスタッフは医療資格を持たない場合が一般的です。
市販のホワイトニング用トレーは、標準的な歯列サイズに合わせて製造されており、歯科医院で作製するオーダーメイド品に比べ適合性に劣ります。
したがって市販品では、歯とトレーの間に隙間が生じやすく、薬剤の密着度にムラが出てしまいます。
これに対して、当院で作製したカスタムメイドトレーを用いたホームホワイトニングは、薬剤を歯の隅々まで均一に密着させられるため、より効果的に美しく仕上がります。

歯科医院で行う医療用ホワイトニングです。
漂白効果のある薬剤を歯の表面に塗り、光で活性化させ、歯の黄ばみを分解していきます。
※初診の方は問診、検査、歯科医師の診断等にも日時を頂戴します。 予約時お電話にてご相談ください。
| 料金 | 2回セット / ¥55,000- |
|---|---|
| 治療回数 | 2回 |
| 治療期間 | 1週間~2週間 |
| 注意点 | ホワイトニング後は色の濃い食べ物や飲み物、すっぱい食べ物や飲み物は控えてください。 |
Merit
Demerit

自宅で行うホワイトニングです。
歯科医師の診断のもと使用方法や注意事項の説明を聞き、お口の検査と適応症の検査をします。 その後ご自身の歯列にあったトレーを作製します(トレーは約1週間ほどでできあがります)。
ご自宅にて、トレーにホワイトニングジェルを入れて、60分~120分装着します。
当院では、厚生労働省の承認を受けた安心してお使いいただけるホワイトニングキットをお渡ししていますので、安心してホワイトニングをすることが可能です。
| 上下 ホワイトニングキッド (ホワイトニングジェル3本付き) |
¥44,000 ※初回10%ホワイトニングジェルが2本、22%ホワイトニングジェルが1本つきます。 |
|---|---|
| 上下 どちらかのみ (ホワイトニングジェル2本付き) |
¥33,000 |
| 追加 ジェル 1本 | 10% ¥1,000 22% ¥1,600 |
| 治療回数 | 2回 |
| 治療期間 | 1~2ヶ月 |
| 注意点 | 確実な効果を得るために約1ヶ月、可能な限り毎日装着してください。 |
Merit
Demerit

外傷や大きなむし歯などによって神経を取った歯(失活歯)が変色した場合に行う医療用ホワイトニングです。
歯の中から漂白を行うことで、元の歯の色と同程度のトーンまで明るく戻すことができます。
通常3〜4回程度の薬剤の交換が必要となります。
| 料金 | 初回¥33,000 薬剤交換料 ¥3,300 |
|---|---|
| 治療回数 | 3〜4回程度(変色の程度で異なります) |
| 治療期間 | 3日~4日 |
Merit
Demerit

ホワイトスポット(白斑)とは、歯の表面にできる白い斑点や模様、白濁のことです。
この白濁は、むし歯が原因のものとそれ以外が原因のものに分けられます。従来は、削って詰めるか被せるしか治療方法はありませんでしたが、最新の治療法と技術で歯を削らずここまで目立ちにくくすることができます。
| 料金 | ¥55,000 |
|---|---|
| 治療回数 | 1回 |
| 治療期間 | 1日(30分~45分) |
| 注意点 | ホワイトニング希望の方は、先にホワイトニングを行う必要があります。 初期むし歯で歯が茶色く変色している所や、穴があいている所は適応ではありません。 |
Merit
Demerit