マウスピース矯正
専門サイト
インプラント
専門サイト
〒510-0062
三重県四日市市北浜田町3-5
059-353-5580
24時間受付中
WEB予約
メニューを開閉する
TEL
WEB予約
ACCESS
HOME
初めての方へ
院長・スタッフ紹介
医院紹介
求人情報
症例紹介
初診WEB問い合わせメール
相談
お知らせ
にいみ歯科ブログ
プライバシーポリシー
診療案内
むし歯
歯周病
予防歯科
歯科ドック
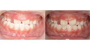
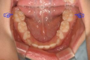
成人矯正
小児矯正
マウスピース型矯正装置
ホワイトニング
インプラント
インプラント専門サイト
入れ歯
審美歯科
マタニティ歯科
小児歯科
訪問歯科
精密歯科治療
ダイレクトボンディング
口腔外科
ボツリヌス療法・ヒアルロン酸
口腔機能低下症・口腔機能発達不全症
〒510-0062
三重県四日市市北浜田町3-5
ご予約・お問い合わせ
059-353-5580
ネットから簡単予約
WEB予約
診療時間
月
火
水
木
金
土
日/祝
9:30~13:00
●
●
●
●
●
●
/
14:30~18:30
●
●
●
●
●
●
/
休診日
日曜、祝日
※電話受付は18:00まで
新着情報
三重県四日市市の歯医者・矯正歯科「にいみ歯科・矯正歯科」
ブログ
スタッフブログ
スタッフブログ
2016.01.29
乾燥!
スタッフブログ
ブログ
2016.01.27
★卒業★
スタッフブログ
ブログ
2016.01.26
幸せのおすそわけ
スタッフブログ
ブログ
2016.01.25
ハワイに行ってきました♡
スタッフブログ
ブログ
2016.01.22
見学☆
スタッフブログ
ブログ
2016.01.20
今日は・・・
スタッフブログ
ブログ
2016.01.19
カリエスになりやすい場所
スタッフブログ
ブログ
2016.01.18
MFT
スタッフブログ
ブログ
2016.01.16
初☆初診
スタッフブログ
ブログ
2016.01.15
歯の神経について
スタッフブログ
ブログ
<
«
15
16
17
18
19
>